La enfermedad de Paget mamaria se asocia al cáncer de mama y es muy distinta de la variante ósea.
La enfermedad de Paget de la mama es una afección poco frecuente que afecta normalmente a mujeres de 50 a 60 años de edad. Esta enfermedad está relacionada con el cáncer de mama y su desarrollo se produce mucho antes de que los primeros síntomas o signos sean visibles, por lo que su diagnóstico suele realizarse de forma tardía.
En este artículo vamos a revisar qué es y en qué consiste la enfermedad de Paget de la mama, qué síntomas la caracterizan, cuál es el tratamiento que se suele seguir y si existe algún método eficaz para la prevención para esta afección mamaria.
Enfermedad de Paget de la mama: ¿qué es?
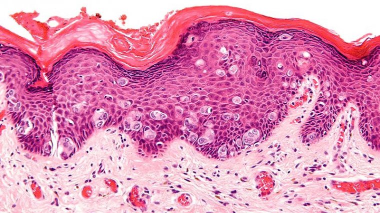
La enfermedad de Paget de la mama es un tipo raro de cáncer de seno que se caracteriza por un tipo de lesión escamosa y roja en el pezón, el tejido de alrededor de éste (areola) y, en raras ocasiones, la piel circundante.
Velpeau fue el primer médico que descubrió las características de esta enfermedad en 1856 y Sir James Paget se encargó de describirla en profundidad y de relacionarla con el cáncer mamario subyacente en 1874.
La enfermedad de Paget es una afección inusual del pecho que a menudo se asocia al cáncer de mama subyacente. Se cree que esta patología se produce cuando el carcinoma invasivo o traductual (cáncer de los conductos galactóforos) se esparce a través de estos conductos hacia el pezón.
Aunque en esta enfermedad la mayoría de los casos presentan un cáncer de mama subyacente extenso, aproximadamente en 10% de los casos de enfermedad de Paget mamaria el cáncer sólo afecta al pezón y a la areola. En raras ocasiones no hay cáncer de mama subyacente.
La enfermedad de Paget constituye aproximadamente de un 0,5% a un 4,3% de todos los casos de cáncer mamario. Raramente afecta a las mujeres de menos de 40 años, dándose principalmente en mujeres de 50 a 60 años de edad y en hombres de 60 a 70 años. El cáncer de mama raramente ocurre en hombres.
Asimismo, la enfermedad de Paget ubicada en otra parte del cuerpo (extramamaria) rara vez se asocia a cáncer invasivo subyacente. Este tipo de enfermedad se encuentra con mayor frecuencia en los genitales y surge directamente de las células que recubren los conductos de las glándulas sudoríparas.
Finalmente, es importante destacar que para su diagnóstico se recurre a la mamografía para identificar y localizar los tumores subyacentes y/o las microcalcificaciones sospechosas. Cuando se sospecha de este diagnóstico, es necesaria la confirmación mediante una biopsia del pezón, utilizando anestesia local.
Síntomas y signos característicos
Los signos y síntomas más comunes de la enfermedad de Paget incluyen enrojecimiento y descamación en y alrededor del pezón y la areola. Otros síntomas incluyen picazón, hormigueo, ardor, hipersensibilidad o dolor.
Asimismo, la lesión en el pezón puede llegar a sangrar o supurar, se pueden producir llagas abiertas (úlceras) y comportar finalmente la destrucción del pezón.
En general la enfermedad de Paget de la mama se manifiesta como una dermatitis eccematosa y/o ulcerosa del pezón y la areola. La duración media de su sintomatología antes de los signos visibles es de unos 6 meses y medio; esto significa que su diagnóstico se realizará tarde en la mayoría de los casos.
Normalmente suele afectar a una mama, siendo excepcionales las lesiones bilaterales en ambos pechos. Las mujeres que la sufren suelen referir ardor primero en el pezón, y poco a poco extendiéndose por la areola.
Tratamiento de la enfermedad
Es importante comentar que la tasa de supervivencia en mujeres con la enfermedad de Paget de mama es del 99,5% de los casos y, al igual que otros cánceres de mama, su pronóstico dependerá de la extensión del cáncer y la etapa en la que se encuentre. Dicho esto, el tratamiento que se suele llevar a cabo es la mastectomía o extirpación de la mama.
La cirugía conservadora o tumorectomía, que consiste en la ablación del pezón, la areola y el tejido de alrededor de estos, se lleva a cabo cuando no existe un cáncer invasivo subyacente. En cambio, la extirpación de los nódulos linfáticos de las axilas raramente se produce a menos que que haya un cáncer invasivo.
La radioterapia y la quimioterapia se utilizan para complementar el tratamiento quirúrgico y provocan efectos secundarios como enrojecimiento de la piel, fatiga, vómitos, malestar general, alopecia, llagas en la boca y pérdida del apetito, entre otros.
Finalmente, existen terapias complementarias y alternativas como la visualización, la meditación y el yoga que, aunque no han mostrado producir ningún efecto en el tratamiento del cáncer, pueden ayudar a reducir el estrés y algunos efectos secundarios de los tratamientos contra el cáncer.
Prevención de este problema
No se han demostrado ningún tipo de factores específicos que aumenten el riesgo de una persona a desarrollar la enfermedad de Paget. Por ello es importante realizarse mamografías de detección regulares, especialmente en las mujeres mayores de 40 años. Asimismo, se recomienda palpar la mama de manera mensual y someterse a exámenes clínicos de mama anuales.
Se ha comprobado también que el ejercicio diario de 2 a 4 horas semanales puede llegar a disminuir el riesgo de cáncer de mama en un 50-75%.
De la misma manera, se ha demostrado que el medicamento tamoxifeno reduce la aparición o recurrencia de cáncer de mama en aquellas mujeres con un alto riesgo; lo mismo se puede decir de la mastectomía profiláctica.
Referencias bibliográficas:
- Albarrán, J.M., Tavares, A., Saldivia, F., Prince, J., Ramos, S., Gutiérrez, N., & Galdea, C. (2010). Enfermedad de paget de la mama reporte de 13 casos. Revista Venezolana de Oncología, 22(3): 194-200.
- Rowland, B. (2002). Paget’s Disease of the Breast. In E. Thackery (Ed.), The Gale Encyclopedia of Cancer (Vol. 2, pp. 824-827). Detroit: Gale.
