La mola hidatiforme o embarazo molar se da si un embrión inviable sigue desarrollándose en el útero.
Durante el embarazo pueden tener lugar múltiples alteraciones que, además de ser muy impactantes, en ocasiones resultan intensamente traumáticas para las mujeres que las experimentan. Nos referimos a fenómenos como el embarazo ectópico, la litopedia (a la que se hace referencia con frecuencia como “feto petrificado” o “calcificado”) o el embarazo molar.
En este artículo vamos a describir qué es la mola hidatiforme o embarazo molar, qué síntomas revelan su presencia, cuáles son las causas de este fenómeno, qué tratamiento se puede aplicar para solucionarlo y cuál es la diferencia entre los dos tipos de mola hidatiforme: la parcial y la completa.
Mola hidatiforme: ¿qué es?
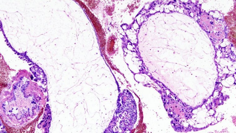
La mola hidatiforme, que como hemos dicho previamente también es llamada “embarazo molar”, es una alteración del embarazo caracterizada por el crecimiento anormal de los trofoblastos, que son las células a partir de las cuales se desarrolla la placenta en condiciones normales.
El embarazo molar forma parte de un grupo de alteraciones conocidas como “enfermedades trofoblásticas gestacionales”. Se trata de un tipo de tumor que por lo general es benigno, si bien la proliferación de células anormales puede dar lugar a cáncer. Describiremos de forma detallada las posibles complicaciones de la mola hidatiforme más adelante.
Según los datos aportados por la ciencia epidemiológica, deducimos que la mola hidatiforme es un fenómeno muy poco común: según Altieri et al. (2003) se da en aproximadamente 20-1300 de cada 100 mil embarazos. Además de que este es un rango muy amplio y por tanto poco informativo, es importante tener en cuenta que las características clínicas favorecen el infradiagnóstico de esta alteración.
Existen dos tipos de mola hidatiforme: la completa y la parcial. Hablamos de embarazo molar completo cuando el tejido fetal no llega a desarrollarse en ningún grado y la placenta se encuentra inflamada, tiene un aspecto poco habitual y forma quistes llenos de líquido. En los casos de mola completa en ocasiones ni siquiera se forma la placenta.
Por contra, en la mola hidatiforme parcial es posible observar tejidos placentarios normales, si bien combinados con otros de naturaleza patológica. De hecho puede que incluso se forme parcialmente el feto, si bien éste no podrá sobrevivir a la gestación y lo más probable es que sea expulsado por el organismo de la madre por medio de un aborto espontáneo durante el primer trimestre del embarazo.
Causas del embarazo molar
La causa de la mola hidatiforme es la fertilización anormal de un óvulo. Aunque tal alteración puede darse como consecuencia de múltiples motivos, hablamos de embarazo molar siempre que el tejido de la placenta se desarrolla pero el del feto no lo hace o lo hace de forma incompleta.
Entre los factores de riesgo que aumentan la probabilidad de que se produzca un embarazo molar encontramos los defectos en el propio óvulo o en el útero, pero también otros aspectos como los déficits nutricionales (por ejemplo de proteínas o de ciertas vitaminas) o el hecho de que la madre tenga menos de 20 años o bien más de 40.
Es habitual la asociación entre el embarazo molar y la duplicación del material genético contenido en el espermatozoide del padre. De hecho, en ocasiones el de la madre se encuentra completamente ausente, mientras que en otras la mola hidatiforme se deriva tanto de los cromosomas maternos como de los paternos duplicados.

Síntomas y posibles consecuencias
El signo más común de la mola hidatiforme es la presencia de sangrado vaginal durante los primeros meses del embarazo, particularmente en el primer trimestre. La sangre suele tener un color del rango que va del marrón oscuro al rojo vivo.
Otros síntomas y signos relevantes son el dolor en la zona del abdomen, la aparición de náuseas y vómitos (incluyendo la hiperemesis, es decir, el aumento del volumen del vómito), la anemia o el incremento de la actividad de la tiroides (es decir, hipertiroidismo).
En ocasiones pueden observarse un agrandamiento del útero o un crecimiento demasiado rápido del útero en relación al progreso del embarazo, así como quistes en los ovarios o en la vagina. Cabe destacar también la preeclampsia, que se asocia con un incremento de la presión de la sangre y con la presencia de determinadas proteínas en la orina.
A pesar de que la mayoría de molas hidatiformes son tumores benignos, en ocasiones pueden complicarse y dar lugar al coriocarcinoma, un tipo de cáncer de las células trofoblásticas de la placenta (Cotran et al., 2005). En cualquier caso es relativamente poco habitual que el embarazo molar progrese hasta convertirse en un tumor maligno, ya que esta complicación se da en el 10% de casos más o menos.
Tratamiento de esta alteración
El tratamiento principal del embarazo molar es la evacuación del útero, que se puede llevar a cabo mediante el procedimiento de la succión de los contenidos del útero o bien del raspado de las paredes de este órgano. Estas técnicas se emplean también para practicar abortos inducidos y terapéuticos.
Es importante llevar a cabo esta operación poco después de detectar la mola hidatiforme porque de este modo se reduce muy significativamente el riesgo de que se convierta en un coriocarcinoma.
En caso de que el embarazo molar progrese hasta transformarse en un tumor maligno (por invadir otros tejidos o hacer metástasis), el coriocarcinoma suele tratarse con quimioterapia. El metotrexato (o ametopterina) es el medicamento más utilizado en este contexto, e incluso se ha propuesto que podría ser un tratamiento de primera elección también en casos de mola hidatiforme no cancerosa pero resistente a la succión uterina.

Referencias bibliográficas:
De Vos, M., Leunen, M., Fontaine, C. & De Sutter, P. (2009). Successful primary treatment of a hydatidiform mole with methotrexate and EMA/CO. Case Reports in Medicine, 2009: 454161.
Altieri, A., Franceschi, S., Ferlay, J., Smith, J. & La Vecchia, C. (2003). Epidemiology and aetiology of gestational trophoblastic diseases. The Lancet Oncology, 4(11): 670-678.
Candelier, J. J. (2016). The hydatidiform mole. Cell Adhesion & Migration, 10(1-2): 226-235.
Cotran, R. S., Kumar, V., Fausto, N., Nelso, F., Robbins, S. L. & Abbas, A. K. (2005). Robbins and Cotran pathologic basis of disease (7th Ed.). St. Louis, Missouri: Elsevier Saunders.