La gingivitis es una afección bucal inofensiva pero que puede complicarse si no se trata adecuadamente.
Aunque a priori la gingivitis corresponda una enfermedad periodontal inofensiva, ésta puede desembocar en otras más graves como la periodontitis. Es por eso que se recomienda en general una correcta higiene dental diaria; así como revisiones y limpiezas bucales regulares para reducir el riesgo de padecerla.
En este artículo en concreto explicaremos qué es la gingivitis (y la gingivitis aguda), cuáles son los síntomas más comunes que presenta y las causas que la provocan. Finalmente, también revisaremos cuál es el tratamiento de primera elección que se lleva a cabo para remediar la gingivitis y qué acciones podemos realizar para evitarla.
Gingivitis (y gingivitis aguda): ¿qué es?
La gingivitis aguda es una patología bucal que implica la inflamación de las encías y que indica un primer estadio de una afección periodontal. Podríamos decir entonces, que la gingivitis representa la forma más leve de ésta, ya que la inflamación se limita a la encía y no se manifiestan cambios en el hueso subyacente. Cuando esto ocurre, la enfermedad es llamada periodontitis y es mucho más grave.
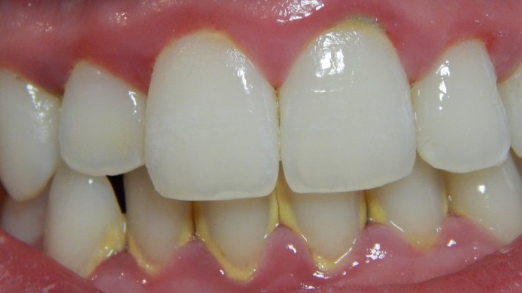
En la gingivitis, se produce generalmente una infección bacteriana en el tejido gingival, que hace que las encías se pongan rojas, se inflaman, duelen y sangran con el mínimo cepillado. Sin embargo, una gingivitis leve puede ser pasada por alto incluso por el dentista, dado que la inflamación y el dolor son mínimos.
Esta enfermedad puede afectar desde niños y adultos a personas mayores y debe ser tratada correctamente ya que, si no se controla puede llegar a derivar a una periodontitis. Comúnmente, la gingivitis se desarrolla durante la pubertad o en la adultez temprana y puede llegar a recurrir con frecuencia a lo largo de la vida de una persona si no se tienen en cuenta diferentes factores de riesgo que explicaremos más adelante.
Causas y síntomas de esta enfermedad periodontal
Los síntomas principales de la gingivitis aguda incluyen un sangrado que suele producirse sobre todo durante el cepillado; la inflamación e irritación del tejido gingival junto con un color rojo o liloso de éste; la presencia de úlceras bucales y la sensación de hipersensibilidad de las encías, que a veces puede venir acompañada de cierto dolor especialmente durante el cepillado.
Esta sintomatología anteriormente descrita suele ser causada por diferentes factores que suelen presentarse de forma conjunta en la mayoría de los casos. En muchas ocasiones la respiración realizada por la boca es un factor clave en el desarrollo de la gingivitis. Ésta causa el secado de la membrana mucosa de la boca e irrita el tejido gingival, causando inflamación e hiperplasia de éste.
Asimismo, el impacto de ciertos alimentos que quedan atrapados en los dientes y encías también pueden fomentar el desarrollo de esta patología. Éstos acumulan toxinas en los márgenes sobresalientes de los dientes, que irritan directamente la encía y favorecen la hipersensibilidad.
Otros factores implicados en la gingivitis
Ligado a este factor, la retención de alimentos causa la formación de placa y sarro. La placa formada a largo plazo por la acumulación de bacterias y residuos en los dientes puede convertirse en un depósito más compacto llamado sarro o cálculo que no se elimina mediante el cepillado normal. La placa y el sarro, que contienen bacterias, inflaman e irritan las encías.
En concreto, las bacterias que destruyen el tejido vivo de las encías son las causantes de las reacción inflamatorias y de hinchazón. Estas bacterias suelen ser las Streptococcal y las Staphylococcal.
Finalmente, existen otros factores que predisponen el desarrollo de la gingivitis. Éstos incluyen una mala higiene dental, ser fumador, presentar una diabetes mellitus no controlada, la malformación de los dientes, el uso de ortodoncias irritantes, ciertos anticonceptivos y el embarazo.
Tratamiento de la gingivitis
En la gingivitis aguda, la reducción de la inflamación e irritación de las encías es lo primero que se intenta paliar. Para ello, primero se lleva a cabo una limpieza bucal realizada por el dentista junto con el uso de ciertos colutorios analgésicos que ayudan a desinflamar la zona irritada.
Junto a ello, para prevenir la recurrencia de gingivitis en un futuro se recomienda también realizar un buen cepillado 3 veces al día siempre en vertical y de arriba a abajo, empezando por las encías. Asimismo el aumento de la ingesta de vitamina C puede ayudar al desarrollo de tejido gingival sano; así como el cambio de cepillo de dientes cada 3 meses.
En general, el pronóstico de la gingivitis es muy bueno ya que los síntomas suelen desaparecer en una semana si se sigue el tratamiento adecuado. Aún así y tal y como hemos comentado antes, la profilaxis de por vida es muy importante para evitar el desarrollo constante de esta afección dental.
¿Cómo evitar esta patología?
La prevención de la gingivitis es simple y fácil. En primer lugar, es muy importante realizar una higiene dental adecuada con técnicas correctas de cepillado, incluyendo el uso del hilo dental para eliminar los residuos acumulados. El uso de dispositivos especiales como los de irrigación de agua pueden recomendarse a personas propensas a el depósito de placa.
Paralelamente, también se recomiendan realizar limpiezas bucales y exámenes dentales de forma regular al menos cada 6-12 meses para reducir el riesgo de gingivitis, ya que con ello nos aseguraremos de eliminar completamente la placa y el sarro acumulados en los dientes.
Referencias bibliográficas:
- Ovard,, C. F. (2002). Gingivitis. In K. Krapp (Ed.), The Gale Encyclopedia of Nursing and Allied Health (Vol. 2, pp. 1077-1079). Detroit: Gale.
